С момента запуска Aoralscan Elite Shining 3D расширяет ассортимент брендов имплантатов, совместимых с технологией интраоральной фотограмметрии (IPG). Но несмотря на то, что компания значительно продвинулась в этом, остаются несколько мультиюнитов, с которыми пока нет возможности работать.
Данный случай, представленный доктором Димитрисом Тасакосом, — это прекрасный пример работы с совместимыми и несовместимыми мультиюнитами, расположенными на одной дуге. Доктор Тасакос демонстрирует, как объединить сканирование с фотограмметрией и традиционное сканирование. Таким образом, открываются новые возможности применения Aoralscan Elite у пациентов со старыми имплантатами.

Рис. 1: Д-р Димитрис Тасакос
Д-р Димитрис Тасакос — признанный эксперт в области цифрового моделирования дентальных протезов, член ICOI (Международного конгресса оральной имплантологии). Доктор Тасакос широко известен как ведущий лекций и практических семинаров по цифровой стоматологии. В своей работе он применяет цифровые модели и цифровое планирование имплантации и протезирования. Доктор специализируется на протоколах немедленной нагрузки. Доктор Тасакос руководит стоматологической клиникой в Афинах, где пациентам предлагается комплексное лечение с использованием передовых цифровых технологий.
Описание клинического случая
В мою клинику обратился пациент (61 год) с металлокерамическими винтовыми коронками на имплантатах в верхней челюсти, которые были установлены больше 10 лет назад. На коронках имелись множественные сколы, которые в прошлом много раз ремонтировались. Пациент хотел заменить коронки на новые.
Три года назад ему поставили полный циркониевый протез нижней челюсти на шести имплантатах, и теперь он хотел установить такой же протез на верхнюю челюсть. Как известно, этот тип протезов требует исключительной точности слепка. Поэтому, чтобы получить идеально точное отображение шести верхних имплантатов, мы решили использовать сканер Aoralscan Elite с технологией интраоральной фотограмметрии от SHINING 3D.
Также, из-за перекошенной линии улыбки и непривлекательного вида предыдущего протеза пациент выразил желание получить более эстетичный дизайн. Для достижения этой цели мы использовали сканер лица MetiSmile, также производства SHINING 3D. Полученные с помощью этого сканера снимки лица используются при разработке дизайна улыбки.

Рис. 2: Интраоральный снимок предыдущей реставрации.

Рис. 3: Фото до лечения; видна скошенная линия улыбки.
Ход лечения
1. Сканирование старого протеза сканером Aoralscan Elite
Как уже говорилось, в случаях протезирования полной дуги точность сканирования — это основа успеха. Технология интраоральной фотограмметрии, которой оснащен Aoralscan Elite, позволяет сканировать с точностью до доли миллиметра. Благодаря этому протезы имеют превосходную пассивную посадку, что особенно важно при реставрации на имплантатах беззубой челюсти.
В данном случае мы столкнулись с проблемой: мультиюниты четырех передних имплантатов были совместимы со скан-маркерами для фотограмметрии, а мультиюниты двух задних имплантатов — нет. Из-за этого мы сканировали два задних имплантата с помощью традиционной технологии 3D-реконструкции (в режиме сканирования мягких тканей, установив в мультиюниты два стандартных скан-маркера). Затем мы просканировали четыре передних имплантата с помощью фотограмметрии (установив в мультиюниты скан-маркеры для фотограмметрии).
Далее мы совместили оба изображения, получив таким образом цифровую модель челюсти с шестью скан-маркерами.
Также, чтобы добиться точного прикуса, мы просканировали сканером Aoralscan Elite динамический прикус. Это изображение импортируется в ту же программу, что и другие.


Рис. 4: Этап 1. Сканирование старой реставрации.
Рис. 5: Этап 2. Сканирование нижней челюсти.

Рис. 6: Этап 3. Сканирование статического и динамического прикуса для создания оптимального дизайна протеза.

Рис. 7: На одной дуге присутствуют совместимые и несовместимые со скан-маркерами мультиюниты.



Рис. 8, 9: Этап 4. Дополнительный скан для фиксации профиля выступания десны и совмещения с предоперационным изображением. Рис. 10: Этап 5. Сканирование мягких тканей со стандартными скан-маркерами.


Рис. 11,12: Этап 6. Установка и сканирование маркированных скан-маркеров сканером с фотограмметрией.

Рис. 13: Этап 7. Совмещение двух изображений (маркированных скан-маркеров и мягких тканей).

Рис. 14: Результат сканирований.
2. Сканирование лица MetiSmile
Этот сканер нужен, чтобы проанализировать симметрию лица и линию улыбки и подобрать пропорции зубов в соответствии с чертами лица. Сканер лица помогает врачу гарантировать, что протез гармонично впишется в общий облик пациента, поэтому применять его очень важно. MetiSmile от Shining 3D делает высокоточные трехмерные снимки, на которых видны контуры лица, форма губ и носогубных складок, положение подбородка. Все эти данные очень полезны для создания эстетичного протеза. Поскольку и MetiSmile, и Aoralscan Elite работают на платформе Shining 3D, результаты сканирования лица можно наложить на интраоральное сканирование прямо в процессе сканирования лица.

Рис. 15: Данные о лице, полученные с помощью MetiSmile.
3. Разработка протеза в Exocad
После сканирования мы отправили все изображения в лабораторию. Техник в лаборатории смонтировал их на виртуальном артикуляторе и, опираясь на сканы лица, разработал протез для верхней челюсти в соответствии с потребностями пациента. Динамический прикус интегрирован в CAD, поэтому мы смогли доработать протез с точки зрения функциональности.



Рис. 16, Рис. 17, 18: Изображение, смонтированное на виртуальном артикуляторе. Мы скорректировали прикус, использовав изображение динамического прикуса со сканера Elite. Таким образом, процесс разработки протеза от начала и до конца нацелен на создание гармоничного облика лица.
4. Примерка
Перед установкой постоянного протеза пациенту примерили прототип. Это хороший способ оценить эстетику и проверить плотность посадки, в том числе с помощью рентгена. После успешной примерки изготовили и установили постоянный протез (циркониевые коронки на титановой балке). Прицельная рентгенограмма показала, что он сел превосходно, и что внешний вид протеза получился ровно таким, как и планировалось. Пациент остался очень доволен результатом лечения.



Рис. 19,20: Напечатанный прототип протеза для примерки пациентом; проверяется пассивная посадка и прикус.
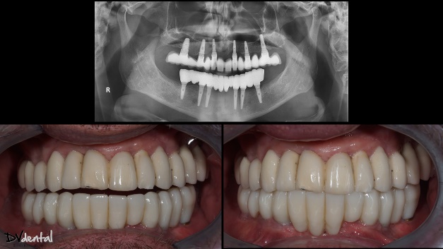
Рис. 21: Рентген показал хорошую пассивную посадку.

Рис. 22: Интраоральные снимки после лечения (слева: до лечения; справа: после лечения).
Комментарий доктора Димитриса Тасакоса
Преимущества MetiSmile и Aoralscan Elite при имплантации all-on-X
В данном случае интраоральный сканер Elite с технологией фотограмметрии позволил получить высокоточный цифровой оттиск, что заложило надежную основу для дизайна протеза. Сканер MetiSmile реалистично зафиксировал морфологию лица и обеспечил гармоничность реставрации как с функциональной, так и с эстетической точки зрения. Это незаменимый инструмент при протезировании полной дуги.
Описанный случай демонстрирует значительные преимущества цифровых технологий при реставрации адентичных дуг на имплантатах. Мы убедились, что комбинация интраорального сканирования, фотограмметрии и сканирования лица обеспечивает точное, эффективное и персонализированное решение в сложных случаях протезирования дуг.